Uśmiechy Naszych Pacjentów
Każdy uśmiech to nasza duma. Zobacz efekty naszej pracy i przekonaj się, jak możemy zmienić Twój uśmiech na lepsze.
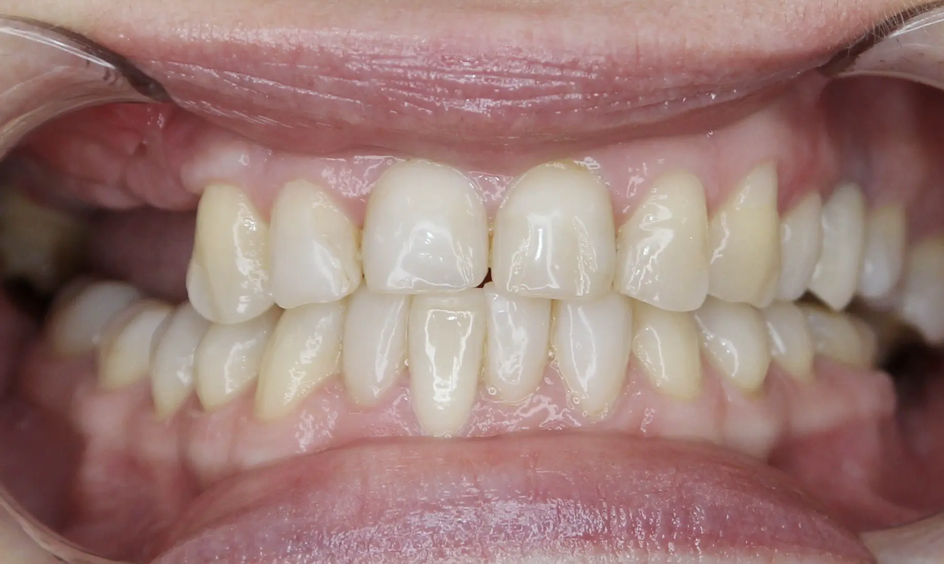
Przed i Po


Metamorfoza 1
BONDING - licówki kompozytowe
"Uśmiech to najpiękniejszy język, który rozumie każdy, bez względu na słowa."


Metamorfoza 4
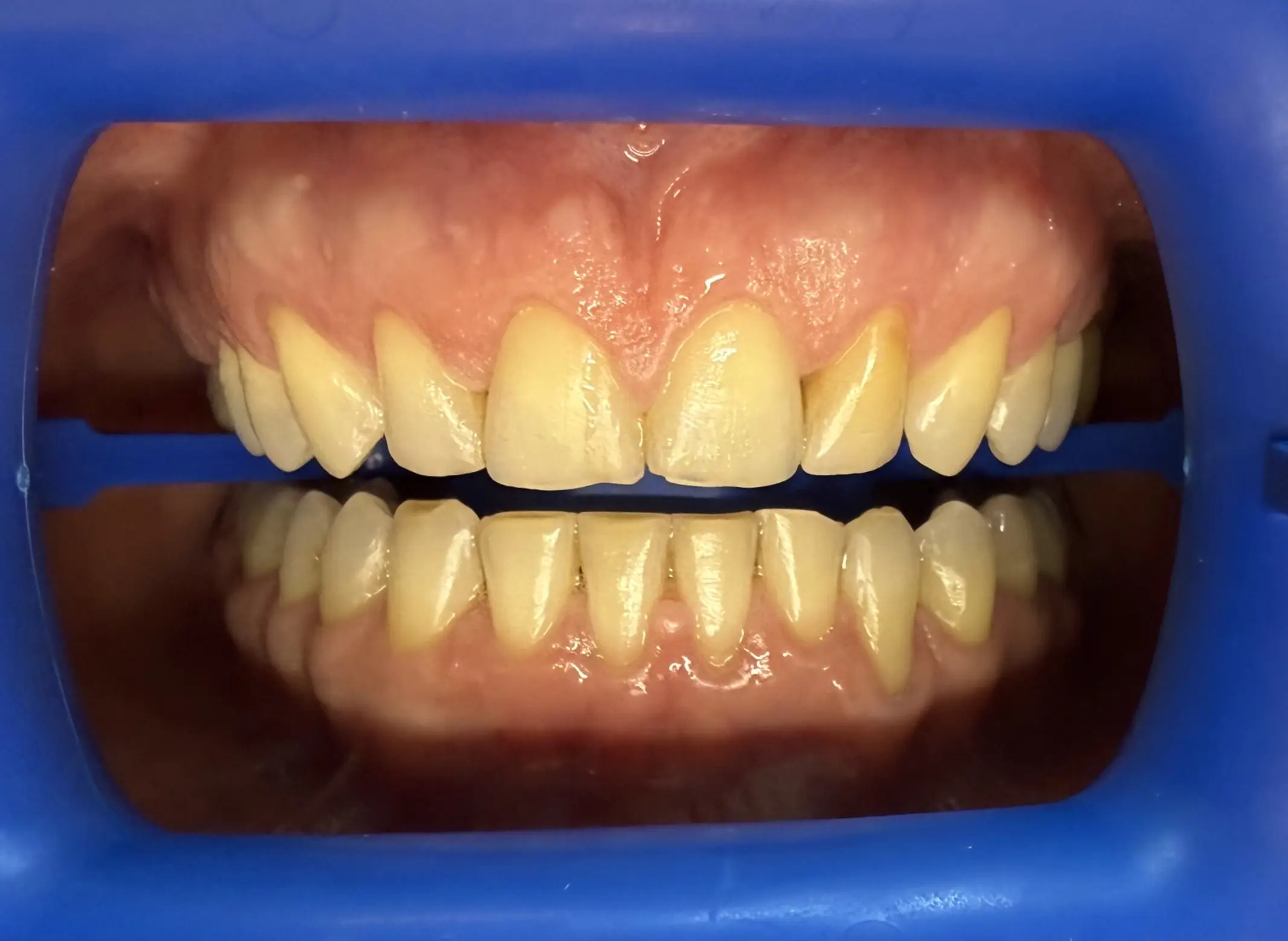
Wybielanie Philips zoom
"Uśmiech to mały gest, który ma ogromną moc – może połączyć ludzi i zmienić ich nastrój."


Metamorfoza 3
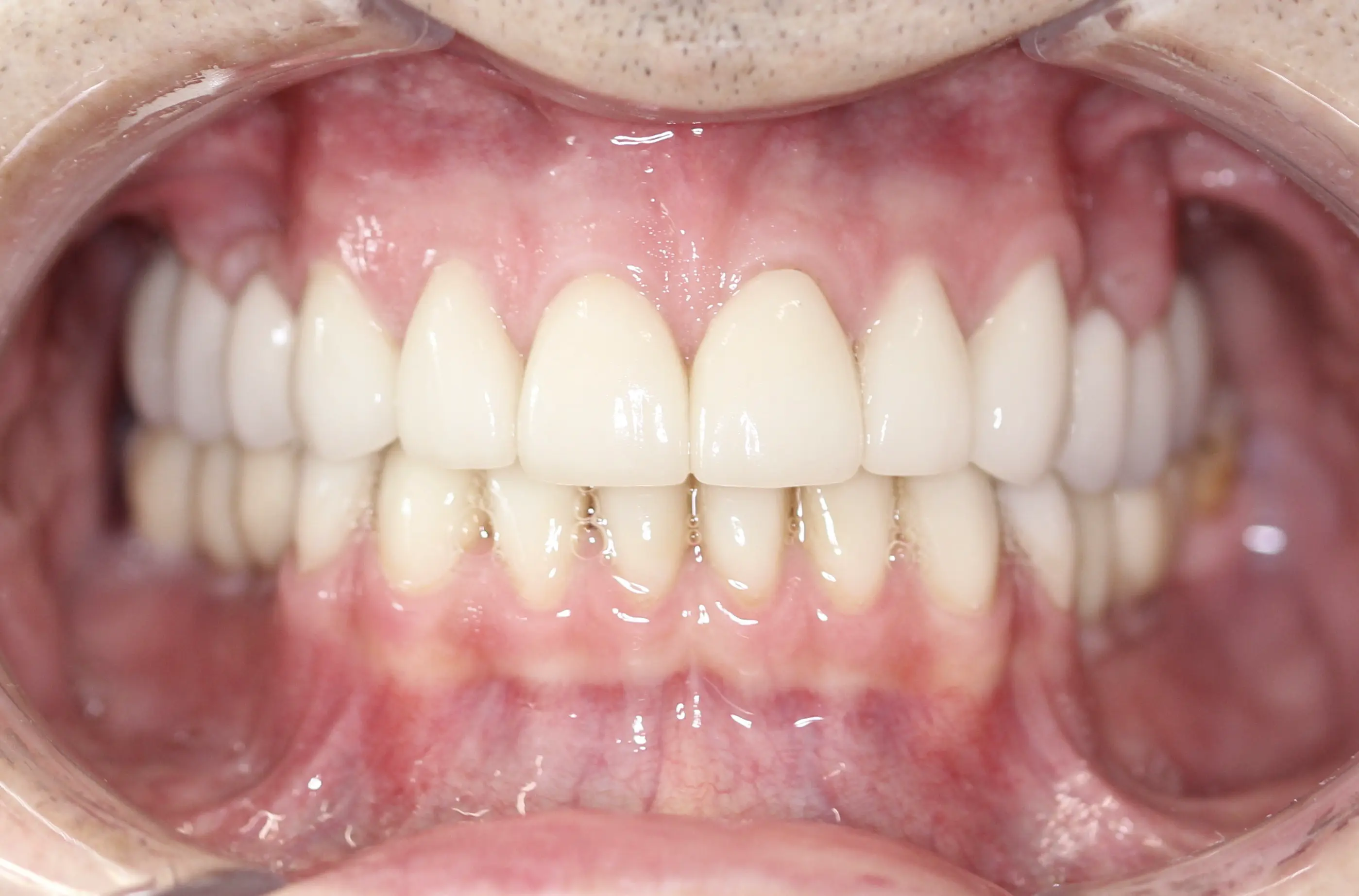
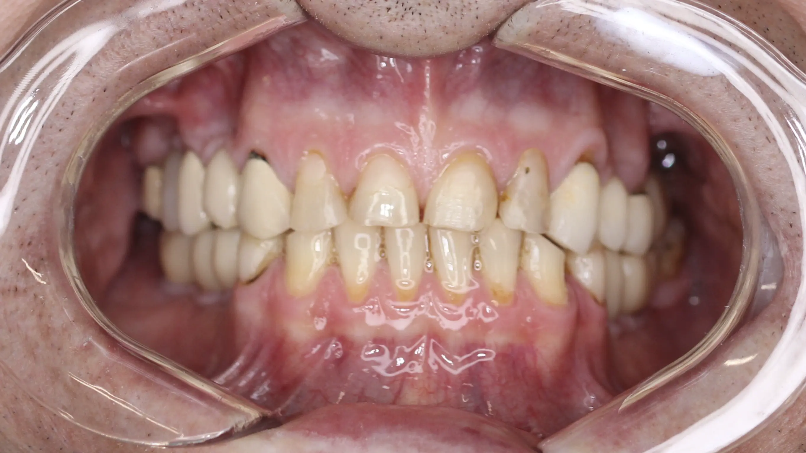
Korony porcelanowe i korony na implantach, Flow injection
"Zdrowy uśmiech to nie tylko estetyka, ale także wyraz pewności siebie i radości życia."


Metamorfoza 2
Ortodoncja i kompozyty estetyczne
"Jeden szczery uśmiech potrafi rozjaśnić nawet najbardziej pochmurny dzień."


Metamorfoza 5
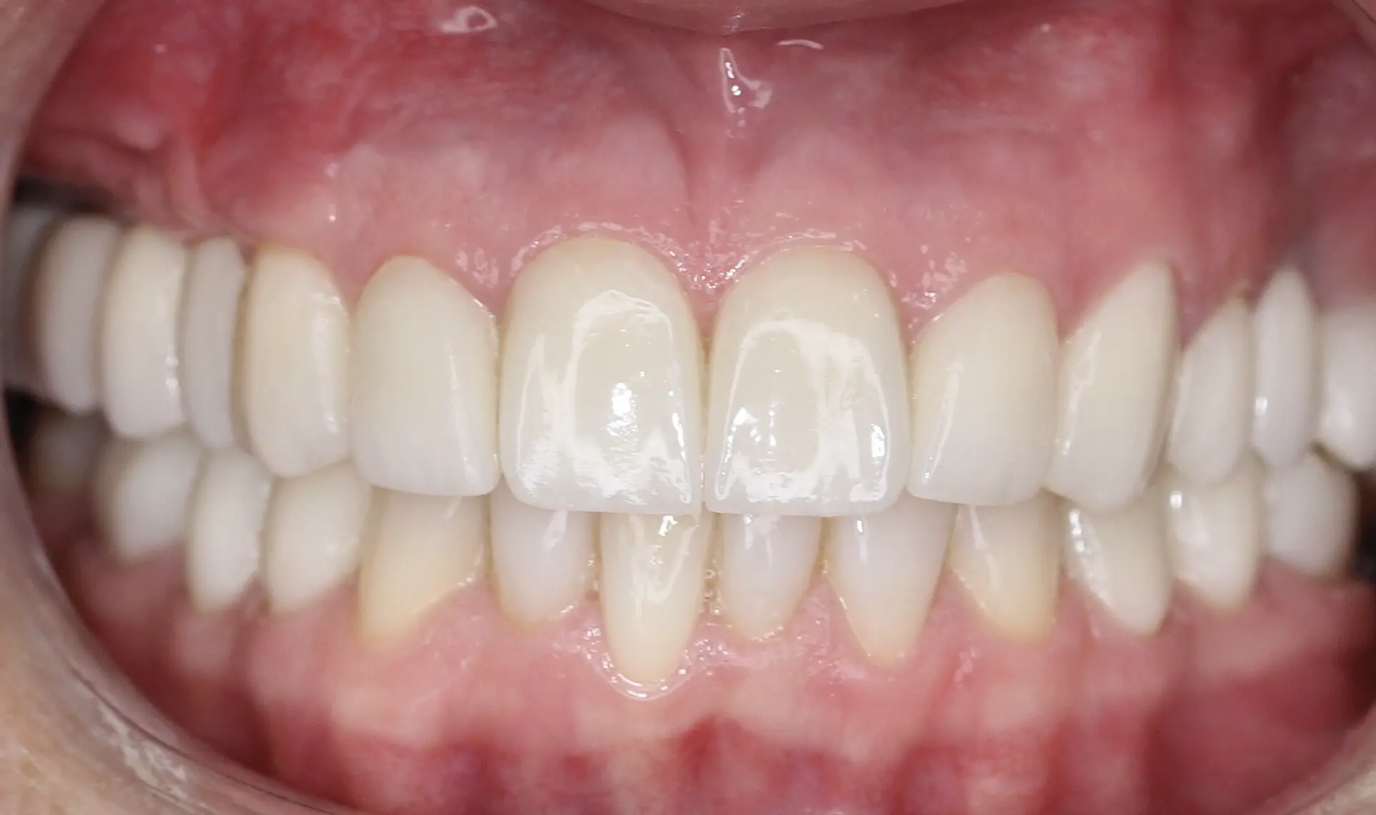
Korony porcelanowo-cyrkonowe
"Uśmiech jest zaraźliwy – dzieląc się nim, dajemy innym odrobinę szczęścia."


Metamorfoza 6
Korony i licówki porcelanowe, korony porcelanowe na implancie
"Prawdziwy uśmiech pochodzi z serca i odbija się w oczach."
Nasze Osiągnięcia
Zadowolonych Pacjentów
Pozytywnych Opinii
Lat Doświadczenia
Wykonanych Zabiegów
Gotowy na Swój Nowy Uśmiech?
Dołącz do grona naszych zadowolonych pacjentów. Umów się na bezpłatną konsultację i poznaj możliwości poprawy swojego uśmiechu.